URBAN SMILES DENTAL CLINIC - CHEMBUR
Straighten Your Teeth Invisibly with Clear Aligners in Chembur
The Modern Way to Straighten Teeth Are you unhappy with gaps, crowding, or crooked teeth but hesitant to get braces because of how they look? You are not alone. At Urban Smiles Dental Care, we offer a sophisticated alternative: Clear Aligners.
What Are Aligners? Aligners are a series of custom-made, medical-grade clear plastic trays that fit snugly over your teeth. They gently and gradually shift your teeth into the correct position. Unlike traditional metal braces, there are no wires or brackets to tighten.
Why Choose Aligners Over Metal Braces?
Virtually Invisible: They are clear and barely noticeable. Most people won’t even know you’re wearing them!
Removable: Take them out to eat, drink, brush, and floss. No food restrictions!
Comfortable: Smooth plastic means no ulcers or cuts on your cheeks/lips from sharp wires.
Fewer Visits: Since there are no wires to adjust, you spend less time in the dental chair.
How the Process Works at Urban Smiles:
Get the perfect smile you’ve always wanted without the hassle of metal braces. Removable, comfortable, and virtually invisible.
Consultation & Scan: Dr. Prasanna Dhatavkar assesses your smile. We take digital photos and scans (no messy putty impressions!) to create a 3D roadmap of your treatment.
Preview Your Smile: We show you a digital simulation of how your straight teeth will look before we even start.
Custom Fabrication: Your set of aligners is 3D printed specifically for you.
Wear & Switch: You wear each set of aligners for about 2 weeks, then switch to the next set in the series until your smile is perfect.
Are Aligners Right for You? Aligners are effective for teens and adults treating overcrowding, gaps, crossbites, and overbites. However, expert supervision is key. Avoid the risks of "at-home" DIY kits. Trust the certified professionals at Urban Smiles Chembur to monitor your progress safely.
Here is a step-by-step visual guide that illustrates the process of getting clear aligners, from the initial dental issues to the final straight smile.
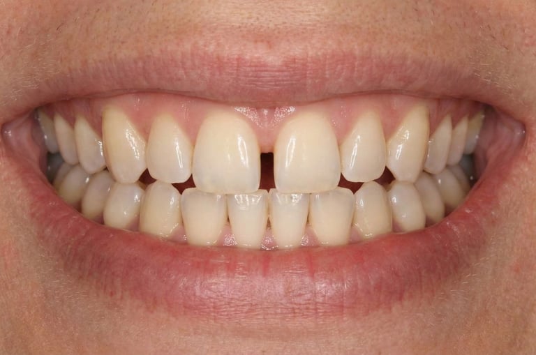
Step 1: The Initial Smile (Before)
This image shows a patient with common dental issues that aligners can fix, such as a gap between the front teeth and crowding in the lower teeth. This is the starting point of the journey.


Step 2: The Digital Scan
Instead of messy traditional impressions, we use a state-of-the-art intraoral scanner to create a precise 3D digital model of your teeth. This process is quick, comfortable, and highly accurate.


Step 3: Your Custom Aligners
Based on the digital scan, a series of custom-made, clear plastic aligners are fabricated specifically for your teeth. This image shows a clear aligner being placed on a model of the patient's lower teeth.


Step 4: The Final Result (After)
After wearing the series of aligners as instructed, your teeth will be gently guided into their correct positions. This image shows the same patient from Step 1 with a perfectly straight and confident smile.


Contact
Reach out for appointments or questions
Phone
+917743977555
© 2025. All rights reserved.
