URBAN SMILES DENTAL CLINIC - CHEMBUR
Transform Your Smile with Porcelain Veneers and Dental Crowns in Chembur
Is Your Smile Holding You Back? Do you hide your teeth in photos because of chips, gaps, discoloration, or misshapen teeth? At Urban Smiles Dental Care, we believe everyone deserves a smile they are proud to show off. Using advanced Digital Smile Designing, Dr. Prasanna Dhatavkar creates restorations that blend perfectly with your natural features.
Understanding Your Options:
1. Porcelain Veneers (The "Hollywood Smile" Solution)
Veneers are ultra-thin, custom-made shells of tooth-colored ceramic designed to cover the front surface of your teeth. They are a cosmetic solution to improve the appearance of your smile instantly.
Veneers are perfect for:
Discoloration: Teeth with deep stains that whitening can't fix.
Worn Down Teeth: Restoring the length and shape of teeth.
Chipped or Broken Teeth: Fixing minor cosmetic damage.
Gaps: Closing spaces between teeth (Diastema closure) without braces.
Misalignment: Fixing minor alignment issues instantly.
2. Dental Crowns (Strength & Protection)
A Dental Crown (often called a "Cap") covers the entire visible portion of the tooth. While veneers are mostly for looks, crowns provide structural reinforcement.
When do you need a Crown?
Whether you want a Hollywood smile makeover or need to protect a damaged tooth, we craft custom, natural-looking restorations that last.
After a Root Canal: A tooth becomes brittle after RCT; a crown protects it from fracturing.
Large Fillings: To support a tooth with a large cavity.
Cracked Teeth: To hold the tooth structure together.
Dental Implants: The crown is the visible "tooth" part placed on top of an implant.
Our Material Promise: Metal-Free Esthetics Gone are the days of dark metal lines near your gums. We specialize in Metal-Free Zirconia and E-max (All-Ceramic) Crowns and Veneers. These materials are:
Biocompatible: Safe for your gums.
Durable: Strong enough for chewing.
Natural: They mimic the translucency of natural enamel perfectly.
The Urban Smiles Advantage
Certified Specialist: Precision fit and bite adjustment by Dr. Prasanna Dhatavkar.
Digital Accuracy: We use digital impressions for a perfect, comfortable fit.
Long-Lasting: We use only premium lab materials warranted for durability.
Here is a step-by-step visual guide that clearly shows the process for both dental veneers and crowns, highlighting the key differences between them.
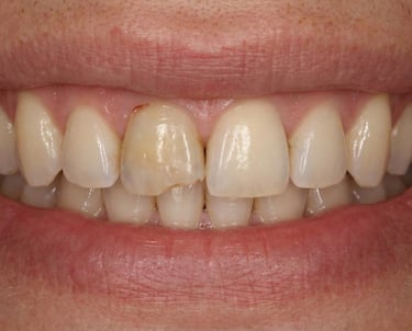
Step 1: The Problem - A Damaged or Discolored Tooth
This initial image shows a common problem that could be solved with either a veneer or a crown: a front tooth that is discolored and slightly chipped.


A patient's smile showing a single discolored and chipped front tooth.
Step 2: Preparation for a Dental Veneer
For a veneer, the preparation is minimal. As shown here, only a very thin layer of enamel is removed from the front surface of the tooth. This creates space for the veneer without compromising the tooth's overall structure.


The discolored front tooth from Image 1, now prepared for a veneer. Notice the slight reduction on the front surface.
Step 3: Preparation for a Dental Crown
In contrast, a dental crown requires more extensive preparation. The entire tooth is filed down on all sides to create a strong core. This is necessary to support the full coverage of the crown.


A molar tooth showing the significant reduction required to prepare it for a dental crown.
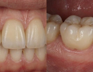
Step 4: The Final Result
This composite image shows the final result for both procedures. On the left, the prepared front tooth now has a beautiful, natural-looking porcelain veneer. On the right, the prepared molar is now protected by a full-coverage dental crown.


The final results. Left: A porcelain veneer bonded to the front tooth. Right: A dental crown cemented onto the molar.
Contact
Reach out for appointments or questions
Phone
+917743977555
© 2025. All rights reserved.
