URBAN SMILES DENTAL CLINIC - CHEMBUR
Sparkle Your Smile: Professional Dental Cleaning & Whitening in Chembur
Is Your Smile Looking Dull or Stained? Even with regular brushing, plaque and tartar can build up in hard-to-reach areas, leading to gum disease and bad breath. Furthermore, coffee, tea, smoking, and certain foods can stain your teeth over time, making them look yellow or dull.
At Urban Smiles Dental Care, we offer professional solutions to restore the health and brilliance of your smile in just one visit.
Understanding the Difference:
Professional Dental Cleaning (Scaling & Polishing): This is a health necessity. It removes hard tartar (calculus) and sticky plaque that your toothbrush can't handle. It prevents gum disease and stops bad breath.
Teeth Whitening (Bleaching): This is a cosmetic procedure. It lightens the actual shade of your tooth enamel, removing deep stains for a dazzling white smile.
Our Painless Cleaning Process (Scaling & Polishing)
We believe a dental clean should be refreshing, not painful. Under the guidance of Dr. Prasanna Dhatavkar, we use advanced ultrasonic technology.
Ultrasonic Scaling: We use a specialized device that uses mild ultrasonic vibrations and water mist to gently yet effectively break down and flush away stubborn tartar and plaque from above and below the gumline.
Prophy Polishing: Once the teeth are smooth, we use a rotating soft rubber cup and a special gritty paste to polish away surface stains caused by coffee or tobacco, leaving your teeth feeling incredibly smooth and looking shiny.
Advanced Teeth Whitening Systems
Reveal a brighter, healthier, and more confident smile with our painless hygienic treatments at Urban Smiles Dental Care.
Ready for a Hollywood smile? Our professional in-office whitening is far superior to over-the-counter kits.
Preparation: We carefully protect your gums and lips with a special barrier, exposing only the teeth.
Gel Application: A professional-grade whitening gel is applied to the surface of your teeth.
Activation: Depending on the system used, a special light may be shone on the teeth to accelerate the whitening process.
Immediate Results: In just 45–60 minutes, your teeth can become several shades lighter!
Why Choose Urban Smiles in Chembur?
✅ Hygienic & Safe: We adhere to strict sterilization protocols.
✅ Painless Technology: Modern equipment for maximum comfort.
✅ Long-Lasting Results: Expert advice on maintaining your new smile.
Here is a step-by-step visual guide to the professional dental cleaning and whitening process at Urban Smiles Dental Care.
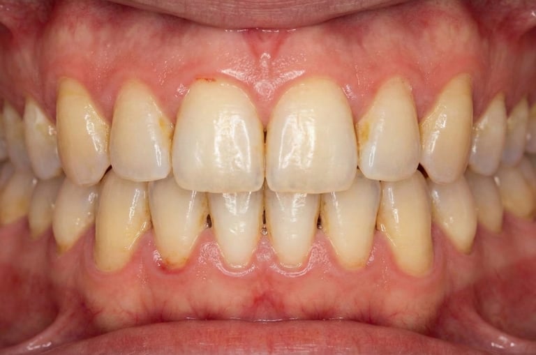
Step 1: The Initial Exam (The "Before" State)
Before any procedure, Dr. Prasanna will examine your teeth and gums to assess their health. This image shows a typical case before cleaning, with visible tartar buildup along the gumline and general staining that cannot be removed by brushing alone.


A close-up of teeth before cleaning, showing yellowish stains and tartar deposits near the gums.
Step 2: Ultrasonic Cleaning (Scaling)
The first part of the process is a thorough cleaning. We use a modern ultrasonic scaler, a device that uses gentle vibrations and a cooling water mist to painlessly break down and remove hard tartar (calculus) and plaque from all surfaces of your teeth, including below the gumline.


A dentist uses an ultrasonic scaler to carefully remove tartar from the lower front teeth.
Step 3: Professional Teeth Whitening Application
Once your teeth are completely clean and free of tartar, we proceed with the whitening process. First, a protective barrier is applied to your gums to keep them safe. Then, a professional-grade whitening gel is carefully applied to the front surface of your teeth. This gel works to break down deep stains and lighten the natural shade of your enamel.


A professional whitening gel is applied to the teeth, while a blue barrier protects the gums.
Step 4: The Final Result (The "After" State)
After the whitening gel has done its work (usually in about 45-60 minutes), it is rinsed off, and the gum protection is removed. The result is a dramatically cleaner, healthier, and brighter smile. The tartar is gone, and your teeth are significantly whiter.


The final result showing clean, tartar-free, and significantly whiter teeth after the procedure.
Contact
Reach out for appointments or questions
Phone
+917743977555
© 2025. All rights reserved.
