URBAN SMILES DENTAL CLINIC - CHEMBUR
Permanent Teeth Replacement in Chembur | Dental Implants by Certified Specialist
Are Missing Teeth Affecting Your Life? Missing teeth are more than just a cosmetic issue. They can make chewing difficult, affect your speech, and cause your jawbone to shrink over time, leading to a premature aging appearance.
At Urban Smiles Dental Care in Chembur, we offer the gold standard for tooth replacement: Dental Implants. Unlike dentures or bridges, implants are a long-term solution that look, feel, and function exactly like your natural teeth.
Why Choose Urban Smiles for Dental Implants? Implant surgery requires precision and expertise. It is crucial to choose the right specialist.
Certified Expertise: Your procedure will be planned and performed by Dr. Prasanna Dhatavkar, a Certified Oral Implantologist. This ensures you receive care based on the latest global standards.
Advanced Technology: We use cutting-edge digital imaging for precise planning, ensuring safe placement and predictable results.
Personalized Solutions: Whether you are missing one tooth or all your teeth, we customize the treatment to fit your bone structure and budget.
Our Implant Services:
Single Tooth Replacement: The perfect solution to fill a gap without grinding down adjacent healthy teeth (unlike a bridge).
Multiple Teeth Replacement: Implant-supported bridges for larger gaps.
Full Mouth Rehabilitation: Replace an entire arch of missing teeth using strategically placed implants (e.g., All-on-4 concepts) for a fixed, permanent set of teeth.
Implant-Supported Dentures: Say goodbye to loose、slipping dentures with secure implant anchors.
The Dental Implant Process (Simplified):
Consultation & Scan: Dr. Prasanna assesses your jawbone health using digital scans.
Implant Placement: The titanium implant post is gently placed into the jawbone during a minor surgical procedure.
Healing Period (Osseointegration): The implant fuses with the bone over a few months, creating a strong foundation.
Final Restoration: A custom-made, natural-looking crown is attached to the implant.
Invest in a Smile That Lasts a Lifetime. Don't settle for temporary solutions. Consult with Chembur’s trusted implant specialist today.
Restore your smile, ability to chew, and confidence with advanced dental implants at Urban Smiles Dental Care.
Here is a step-by-step visual guide to the Root Canal Treatment process, as performed by our certified specialist, Dr. Prasanna Dhatavkar.
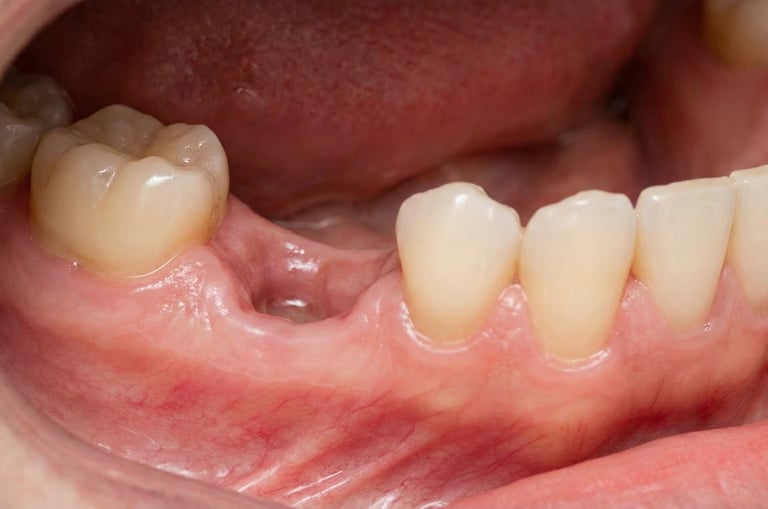
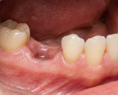
Step 1: The Initial State - A Missing Tooth
The process begins with a missing tooth. This gap can cause problems with chewing, speech, and can lead to bone loss in the jaw over time. A dental implant is the most effective, long-term solution to replace the missing tooth and its root.


A close-up of a patient's jaw showing a missing molar tooth.
Step 2: Implant Placement Surgery
In a minor surgical procedure performed under local anesthesia, Dr. Prasanna places a small, biocompatible titanium post (the dental implant) into the jawbone. This post acts as the new tooth's root. The gum is then stitched back over the implant to allow it to heal.


A cross-section view showing the titanium dental implant being surgically placed into the jawbone.
Step 3: Healing and Abutment Placement
Over the next few months, a process called osseointegration occurs, where the jawbone grows around and fuses with the titanium implant, creating a strong and permanent foundation. Once healed, a small connector piece called an abutment is attached to the top of the implant, protruding slightly above the gumline.


The implant is fully integrated with the bone, and the metal abutment is attached, ready for the final crown.
Step 4: Final Crown Placement
The final step is the placement of your new tooth. A custom-made, tooth-colored dental crown is secured onto the abutment. This crown is designed to match the shape, size, and color of your natural teeth, providing a seamless and functional restoration that looks and feels just like the real thing.


The final ceramic crown is placed on the abutment, completing the restoration and looking like a natural tooth.
Contact
Reach out for appointments or questions
Phone
+917743977555
© 2025. All rights reserved.
